Real-life rezultati

preporuke

Implantat preporuka - Stomatološka Poliklinika Breyer
Implantat preporuka - Stomatološka Poliklinika Breyer
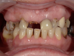
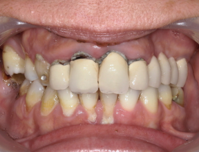
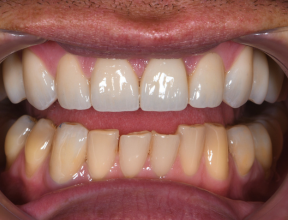
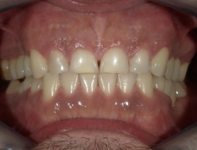
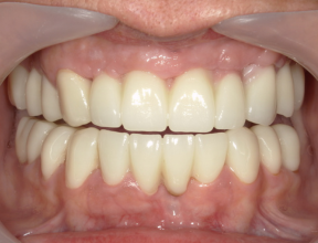
Selime - Prije
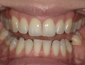
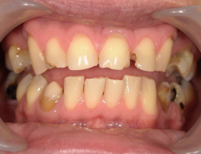
Ivica prije
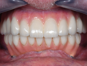
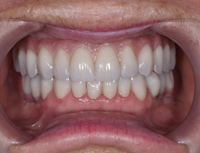
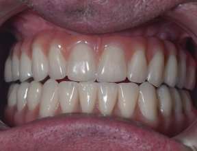
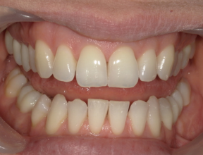
Ivica poslije
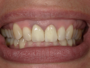
Martina, Njem, prije
Martina, Njem, poslije

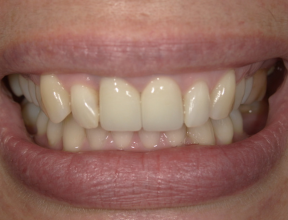
Želimir

Njemačka

Od proteze koja pada – do osmijeha koji stoji čvrsto

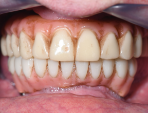
Vlatka

Engleska

Kad pukne prednji zub – a započne nova priča

Marko

Irska

Kad “crne rupe” nestanu – a osmijeh se vrati

Sandra

Slovenija

Želim osmijem koji izgleda prirodno

Stjepan

Hrvatska

Kad zdravlje kaže – sad je dosta

Josip

Njemačka

Osmijeh o kojem je godinama razmišljao – napokon stvarnost

Milan

Austrija

Konačno živim bez boli i nelagode

Danijela

Hrvatska

Kad bol napokon stane

Iva

Hrvatska

Sigurna sam u svoj osmijeh

Tihomir

Njemačka

Osmijeh bez boli – i bez straha

Ivan

Njemačka

Osmijeh koji je pacijentu iz Njemačke promijenio svakodnevicu

Marko

Hrvatska

Kad osmijeh postane odluka da se posvetiš sebi

Tanja

Irska

Kada osmijeh skrivaš zbog jednog zuba

Maja

Hrvatska

Kada jedan zub mijenja sve

Ina

Hrvatska

Kada osmijeh pukne – doslovno

Iva

Hrvatska

Novi osmijeh koji vrijedi svakog koraka

Stela

Austrija

Kad „mala briga“ otkrije veliku promjenu

Silvana

Hrvatska

Vratili ste dio mene – moj osmijeh

Mateo

Austrija

Iz boli do osmijeha – promjena u mjesec dana

Selime

Austrija

Napokon slobodna – osmijeh bez tereta prošlosti

Tihana

Hrvatska

Novi osmijeh nakon 15 godina.

Lana

Hrvatska

Iz aparatića u osmijeh iz snova.

Martin

Hrvatska

Kada strah prestane, osmijeh se vrati.

Marjana

Njemačka

Od sada vjerujem u život bez straha

Ivica

Hrvatska

Osmijeh koji izgleda kao da je oduvijek bio moj

Martina

Njemačka

Nakon života punog boli sada se smijem

Kristina

Hrvatska

Osmijeh koji je stavila na prvo mjesto – napokon

Mihael

Austrija

Godišnji odmor koji je završio s osmijehom

Katarina

Slovenija

Osmijeh koji ne skriva više ni na jednoj fotografiji

Stipe

Hrvatska

Osmijeh koji mu konačno pristaje

Sanela

Hrvatska

Prirodan osmijeh koji ne traži popravke ni pažnju

25265

novih osmijeha

5913

posjeta

50 %

novih pacijenata putem prepouke

500 +

implantata godišnje

Želiš biti kao...

Adriana

Irska

Doktorica Matea Pavković je bila odlična i profesionalna, a osoblje iznimno ljubazno. Postupci su bili bezbolni, što se tiče terapije, dobila sam sve informacije i osjećala sam se sasvim sigurno. Prijatelji su iznenađeni zbog potpuno prirodnog izgleda mog novog osmijeha. Osjećam se odlično!

Amir

Austrija

Za Stomatološku Polikliniku Breyer imam samo riječi hvale. Svima bih preporučio polikliniku jer sam se osjećao ugodno, kao da sam sa prijateljima. Doktorica Josipa Crnjac je bila ljubazna i iznimno profesionalna. Reakcije ljudi su bile odlične, moj novi osmijeh kao krojen po meni. Hvala vam!

Ana Marija

Hrvatska

Savršena poliklinika, savršeni doktori za savršen osmijeh. Bezbolno i brzo.
Meni su preporučili prijatelji,a ja preporučujem svima!
Hvala doktorici Ljiljani i ekipi za predivan osmjeh!!

Amir

Njemačka

Zašto Breyer? Dugo vremena sam tražio zubara, a onda sam došao u Polikliniku Breyer. Već nakon prvog razgovora sam znao da je to pun pogodak. Toliko ljubaznih i stručnih ljudi na jednom mjestu ne viđamo često. Rad je bio profesionalan i totalno bezbolan. Na kraju sam dobio prekrasne zube. Moja familija i prijatelji bili su oduševljeni. Zahvaljujem se svima na gostoprimstvu, a posebno doktorici Matei i doktorici Jeleni koje su učinile da moj život bude ljepši. Hvala!

Ankica

Hrvatska

Dr Tamaru sam upoznala kao otvorenu, ljubaznu, pristupačnu, fleksibilnu i profesionalnu osobu, maksimalno fokusiranu na pacijenta i riješavanju njegovih problema koji na kraju rezultiraju blistavim osmijehom - kao u mom slučaju. Najiskrenije preporučam!

Božica

Njemačka

Poštovana kliniko Breyer, S vašom klinikom i vašim osobljem sam veoma zadovoljna. Prošla je godina dana otkako sam radila zube u vašoj klinici. Puno vam hvala. Tim je vrlo profesionalan, stručan, ljubazan i sva pitanja i usluge ste ispunili. Preporučila bih vas svima. Sa terminima i smještajem ste mi izašli u susret i zaslužujete sve pohvale. Puno pozdrava i zahvale iz Baden – Wűrttemberga

Damir

Hrvatska

Sve riječi hvale za cijelu ekipu. Jednostavno nemam zamjerke za bilo koga. Super sam zadovoljan. Sada mogu normalno jesti i potpuno je drugačiji osjećaj.

Dorjan

Hrvatska

Iznimno profesionalno i ugodno osoblje. Uz mnogo uloženog truda postignut je savršen osmijeh, kojim su ispunjena sva očekivanja.

Dragan

Hrvatska

Vrlo sam zadovoljan sa osobljem poliklinike Breyer, vrlo su ljubazni i uslužni. Doktorica Tamara je pravi stručnjak, ona mi je sve radila osim implantata. Kirurg koji je stavljao implantate vrlo je dobar i stručan tako da nemam prigovora na ništa. Sve je u najboljem redu. Preporučam svakom polikliniku Breyer i nudim bon ko treba za besplatan pregled.

Draženka

Njemačka

Nakon nekoliko posjeta drugim poliklinikama odlučila sam se za Polikliniku Breyer.
Usluga, konačno rješenje problema i ljubaznost, koja me se posebno dojmila, su razlog zbog čeg bih preporučila ovu Polikliniku svima.

Edin

Austrija

Na internetu sam saznao za Stomatološku Polikliniku Breyer. Iako sam iz prva bio skeptičan, odlučio sam svoje zdravlje prepustiti u ruke stručnjaka. Svojim dolaskom sam bio informiran o svakom koraku terapije zbog čega sam se osjećao sigurno. Postupci u terapiji su bili bezbolni, a dr. Jelena Paliska FENOMENALNA! S novim osmjehom sam kao preporođen, a moji najbliži su oduševljeni. Vjerujte mi da nigdje nema ovakve atmosfere i usluge!

Esma

Švicarska

Od trenutka kada sam dobila svoje nove zube - kao da su prirodni! Ne boli me i ne žulja. Osjećam se odlično.

Fuad

Njemačka

Za Stomatološku Polikliniku Breyer sam saznao putem web-a. Nakon ugodnog razgovora sa svojom dentalnom savjetnicom Helenom, odlučio sam rezervirati termin. Osjećao sam se iznimno ljubazno, a osoblje je bilo srdačno, ljubazno i efikasno. Svi doktori su bili profesionalni, sve je bilo na visokoj razini, a moji novi zubi su kao krojeni po meni, napokon se osjećam ugodno i opušteno. Reakcije drugih ljudi su fantastične. Terapija je trajala kako je i dogovoreno-iznimno profesionalan pristup. Svakom bih preporučio Stomatološku Polikliniku BREYER, od malih, pa sve većih radova, kao što je bio moj.

Gordana

Njemačka

Za Polikliniku Breyer sam saznala putem interneta. Doktorica Ruža Bjelovučić obavila je odličan posao. Vrlo je ljubazna i profesionalna, kao i cijeli tim stručnjaka. Za Polikliniku Breyer imam samo riječi pohvale. Hvala Vam na lijepom osmijehu!

Ines

Hrvatska

Izrazito sam zadovoljna uslugom u stomatološkoj poliklinici Breyer. Dugo mi je trebalo da se odlučim za malo ozbiljniji zahvat na zubima i jako mi je drago što sam odabrala upravo njih. Od početnog poziva za dogovor o terminu do posljednje probe novog osmijeha, cijeli tim se pokazao izuzetno profesionalnim i ljubaznim. U svakom trenutku osjećala sam se ugodno, smireno i u dobrim rukama. Posebno bih istaknula strpljenje i temeljitost uvijek nasmijane doktorice Tamare koja bi detaljno objasnila sve postupke i procedure. Na kraju krajeva, kvaliteta usluga je izvanredna, imam zube koji prekrasno prirodno izgledaju i osjećam ih kao svoje u potpunosti.

Ismet

Švedska

Moja žena Zemina i ja izuzetno smo zadovoljni kvalitetom usluge u Poliklinici Breyer. Dočekalo nas je ljubazno osoblje i stručnost doktora koji su nas informirali o svakom koraku naše terapije. Odlično je što Poliklinika surađuje s osiguranjima iz inozemstva jer smo na taj način ostvarili veliki povrat što nam je još dodatno pojačalo razinu zadovoljstva!

Ivan

Njemačka

U Stomatološku Polikliniku sam došao preporukom prijatelja. Osoblje je bilo iznimno stručno i detaljno u pojašnjenjima. Doktorice Tamara Opalić i Jelena Paliska su odradile odličan posao, a postupci u terapiji su bili BEZBOLNI! S novim zubima osjećam se puno sigurniji i zadovoljniji. Svima preporučujem odlazak u Stomatološku Polikliniku Breyer!

Jadranka

Njemačka

Ovo je moj osmijeh po koji sam došla u Stomatološku polikliniku Breyer iz zdravstvenih razloga.
Dugogodišnja tradicija Poliklinike Breyer mi je ulijevala povjerenje a uz ljubaznost, susretljivost i profesionalnost osoblja poliklinike sam prevladala početni strah. Posebna zahvala dr Tamari Opalić i dr Jeleni Jerković zbog kojih je moja terapija prošla potpuno bezbolno. Nakon svog iskustva preporučila bih svima Polikliniku Breyer a cijelom timu još jedno HVALA za sve!

Jadranka

Njemačka

Osoblje jako srdačno i stručno. Svi doktori koji su bili uključeni u terapiju su odradili izvanredan posao. Osjećam se MRAK! Po meni, ovo je TOP klinika!

Jela

Austrija

Za Vas sam čula putem preporuke poznanika te sam se shodno tome o Vašim uslugama i Poliklinici informirala putem web stranice. Tokom procesa liječenja uvjerila sam se da je ime Breyer sinonim za tradiciju, kvalitetu i uslužnost na visokoj razini. Vaš Multiprofesionalni Tim se zaista trudio da moj boravak u Poliklinici Breyer učini što ugodnijim. Dr. Tamara je svoj posao radila s velikom preciznošću i stručnošću kao i ostatak tima koji je bio iznimno fleksibilan. Datum i trajanje tretmana su u potpunosti bili prilagođeni meni. S novim zubima se osjećam sretno jer konačno više ne krijem svoj osmijeh! Moja okolina je iznimno pozitivno reagirala na moj novi osmijeh. Stomatološku Polikliniku Breyer svima onima koji su u potrazi za kvalitetnom uslugom u području dentalne medicine i protetike. Također, Poliklinika Breyer uspješno surađuje s osiguravajućim kućama u Austriji. Zdravstveno osiguranje ovisno o potrebama korisnika djelomično ili u potpunosti pokriva troškove liječenja.

Lidija

Hrvatska

Moja super pozitivna preporuka ide za doktoricu Tamaru i njezinu asistenticu Ivonu! Vrlo obazrive na moj strah koji imam zbog prethodnih iskustava, a u isto vrijeme jako stručne, sve objasne prije nego krene bilo koja vrsta zahvata. Svaki put vrlo opuštajuća i smirena atmosfera i zahvalna sam im na svakoj riječi utjehe kada mi je trebala. Zahvaljujući njima opet se smijem bez zadrške.

Mirjana

Hrvatska

Kao osrednja govornica stranih jezika, usta nalik mlinu oštećenog kamena, obuzeta paničnim strahom, jednoga dana zakoračila sam u Stomatološku polikliniku Breyer. Onda se dogodila magija: profesionalno osoblje, vrhunski zubari, suvremeni materijali i futuristička tehnologija, učinili su to da mi je zubarski stolac postao toliko udoban da sam ponekad zaspala čak i tijekom složenijih zahvata. U ovoj Poliklinici ozračje je takvo da se doslovno osjećate kao najvažnija osoba na svijetu! Nema tih novaca kojima možete platiti taj osjećaj! A tu dodanu vrijednost, tu razliku između profesionalnog i vrhunskog, čine upravo ljudi koji rade u Poliklinici Breyer. Svima velika hvala, a ponajviše mojoj zubarici Jovani (koja bi mi čak i tiho zapjevala kako bi razbila moju trenu) i njenoj asistentici Ivani.
Postoje tisuće jezika u svijetu, ali osmijeh govori sve njih, poručuje jedna mudra misao. Ja sam sada poliglot jer je moj osmijeh, zahvaljujući i novim i popravljenim zubima, opet djetinje otvoren, iskren i radostan.

Radmila

Hrvatska

Nakon više upita odlučila sam se za Polikliniku Breyer. Imala sam probleme sa nedostatkom više zuba koje su mi oni riješili. Zadovoljna sam cijelim timom usluga, svi su ljubazni i profesionalni. Posebno bi pohvalila doktoricu Jovanu i sestru Ivanu koje su riješile moj problem i vratile mi osmijeh. Preporučujem svima javite se i obratite sa povjerenjem u Polikliniku Breyer.

Snježana

Hrvatska

Iako sam bila malo skeptična prije nego sam se opustila u ovu avanturu, odabravši Vas s povjerenjem sam se prepustila vašim stručnjacima i nisam požalila ni jednog trena. Savršenost, empatičnost i stavljanje pacijenta na prvo mjesto je nešto što vas krasi.
Hvala cijelom timu za blistav osmijeh.
Moja svaka preporuka.

Sabiha

Hrvatska

Imala sam veliki strah od zubara. Bojala sam komplikacija više nego boli no dr Tamara i sestra Korana imale su potrebno znanje i strpljenje. Prošla bih sve ponovo i sad svima preporučujem Polikliniku Breyer!

Mira

Hrvatska

Preporuka svima! Još prije pola godine imala sam dilemu kud krenuti. Svjesna da mi je krajnje vrijeme da nešto napravim sa svojim zdravljem i počela sam sa zubima. Posjetila sam Vašu polikliniku i uz stručno objašnjenje shvatila da je to ono što trebam. Zahvaljujem cijelom timu a posebice dr. Ljiljani i sestri Marijani. U njihovim rukama osjećala sam se opušteno i sigurno. Moj osmijeh govori SVE! Želim svima puno uspjeha u životu i daljnjem poslovanju.

Sabiha

Hrvatska

Imala sam veliki strah od zubara. Bojala sam komplikacija više nego boli no dr Tamara i sestra Korana imale su potrebno znanje i strpljenje. Prošla bih sve ponovo i sad svima preporučujem Polikliniku Breyer!

Vesna

Hrvatska

Dragi sadašnji i budući pacijenti Poliklinike Breyer. Moram Vam prenijeti svoje zadovoljstvo učinjenim radom doktorice Ljiljane i sestre Korane. Moji novi zubi su prva liga, izgled, boja i sama brzina rada, to je ono što svaki pacijent traži te ono što je za većinu nas najvažnije- cijena, vjerujte da se dogovor postigne na obostrano zadovoljstvo. Ako ću trebati opet prvoklasnog zubara bez razmišljanja ću posjetiti Polikliniku Breyer. Od sveg srca preporučam svima da posjete Polikliniku Breyer i da se uvjere u istinitost mojih riječi. Zahvaljujem osoblju Polikliike Breyer te im želim puno, puno posla i zadovoljnih pacijenata kao što sam zadovoljna i ja.

Kontaktirajte nas

Želim besplatan pregled

Kontakt
Poliklinika - Stomatološka poliklinika Breyer
Poliklinika - Stomatološka poliklinika Breyer
Poliklinika - Stomatološka poliklinika Breyer
Poliklinika - Stomatološka poliklinika Breyer
Poliklinika - Stomatološka poliklinika Breyer
Poliklinika - Stomatološka poliklinika Breyer
Poliklinika - Stomatološka poliklinika Breyer
Poliklinika - Stomatološka poliklinika Breyer
Poliklinika - Stomatološka poliklinika Breyer
Poliklinika - Stomatološka poliklinika Breyer
Poliklinika - Stomatološka poliklinika Breyer
Poliklinika - Stomatološka poliklinika Breyer

Želim povrat od Krankenkasse.

Kontaktiraj nas